
Looking for the best teeth whitening in San Diego? At Flawless Dental Studio, we provide professional teeth whitening using the clinically advanced KöR Whitening system, designed for deep stain removal, reduced sensitivity, and long lasting results. As a trusted teeth whitening dentist near you, Dr Raufy offers safe in office teeth whitening and customised treatment tailored to your smile goals. Whether discoloration is caused by coffee, wine, smoking, or aging, our cosmetic teeth whitening treatment restores a naturally radiant smile for patients in Mira Mesa and surrounding San Diego communities.

Why we chose KöR for Professional Teeth Whitening
At Flawless Dental Studio, the best teeth whitening place near you in San Diego, we use the clinically advanced KöR Whitening system to deliver deep stain teeth whitening while remaining one of the safest options for patients with sensitive teeth.
- Unlike many traditional or laser-based treatments, KöR uses advanced peroxide science and sealed custom trays to remove stubborn discoloration and produce long-lasting professional teeth whitening results.
- This dentist-recommended whitening system is designed to minimize post-whitening sensitivity while effectively treating stains caused by medication, aging, and lifestyle habits.
- KöR is a trusted solution for patients seeking professional teeth whitening in San Diego, offering a radiant, confident smile.
- The system is science-backed and dentist-recommended, ensuring effective and reliable whitening results.
What Types Of Tooth Stains Can Professional Teeth Whitening Treat?
KöR Whitening is specifically designed to treat both extrinsic and intrinsic stains. In fact, it is widely considered the "gold standard" for removing deep, internal discolorations that other whitening systems often cannot touch.
Extrinsic stains
These surface stains appear on the outer layer of teeth (enamel) and are often caused by lifestyle habits. These discolourations are easiest to treat with professional teeth whitening. Common causes include:
- Coffee and tea stains
- Tobacco stains from smoking
- Yellowing due to aging or diet
- Poor Hygiene
INTRINSIC STAINS
This is where KöR truly shines. Intrinsic stains lie deep within the enamel and dentin, and KöR is unique in restoring the tooth’s ability to absorb oxygen, breaking down stubborn dark stains from the inside out. KöR Whitening effectively addresses:
- Tetracycline Staining: Dark gray or brown bands caused by certain antibiotics, once thought to be permanent.
- Aging: Natural yellowing as enamel thins and dentin darkens over time
- Fluorosis: White or brown spots resulting from excessive fluoride intake during tooth development.
- Trauma: Discoloration from internal bleeding or nerve damage within a tooth.
Did you know…
Over 10 million Americans whiten their teeth each year to enhance their smiles.
Ready to
schedule your appointment?

Benefits of Professional Teeth Whitening
Safe for Sensitive Teeth
Performed under the supervision of the best teeth whitening dentist in Mira Mesa, we use a professionally calibrated formula and controlled application technique that minimizes discomfort for patients with sensitive teeth while providing powerful teeth whitening results.
Faster And Long-Lasting
Our teeth bleaching system delivers faster results than most whitening strips or traditional methods, with long-lasting effects. It's sealed delivery design keeps the gel active and allows deeper enamel penetration making it the best teeth whitening treatment in San Diego for a brighter, more confident smile.
Deep Stain Removal
Using a superior, enamel-safe formula for maximum stain removal its effectively treats both surface stains from coffee, tea, wine, and smoking, as well as intrinsic stains like tetracycline or fluorosis, providing comprehensive cosmetic teeth whitening results.
How Professional Teeth Whitening Works
Step 1: Initial Assessment
Dr. Muzmml Raufy evaluates your teeth and gums to ensure oral health and suitability for whitening. Shade assessments and photos help track progress. This step guarantees safe, dentist-supervised teeth whitening and personalized treatment plans.
Step 2: Whitening Application
Teeth are cleaned and protected with a barrier, then whitening gel is applied. No UV light is required; the gel works chemically to remove both surface and deep stains. In-office sessions typically last 60–90 minutes.
Step 3: At-Home And Final In-Office Care
Use your custom trays at home for 2–4 weeks to enhance and maintain your professional teeth whitening results, then return for your final in-office session to ensure a bright, long-lasting smile.
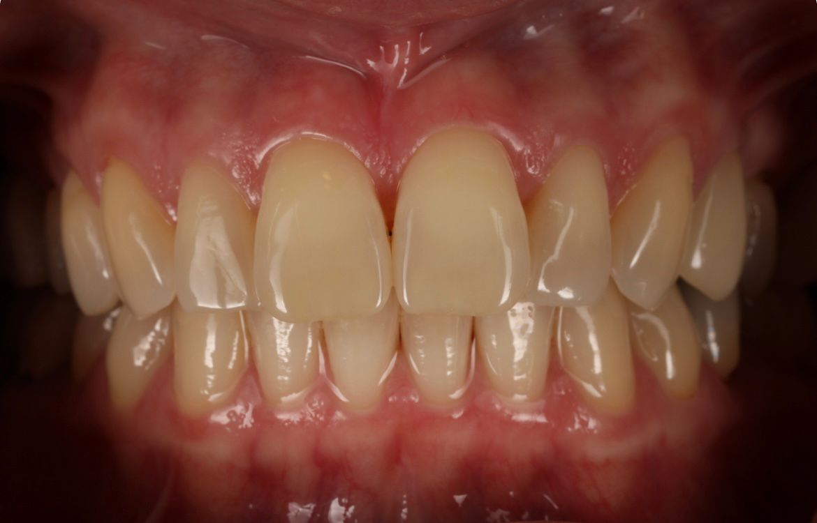
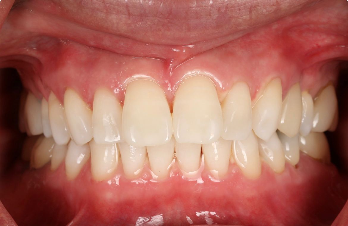
Flawless dental studio: teeth whitening results
best teeth whitening in san diego








HOW TO MAINTAIN TEETH WHITENING RESULTS
After your professional teeth whitening treatment, you can enjoy the immediate effect as teeth can become 6 to 10 shades lighter after the in-office session. To maintain your bright smile, avoid stain-causing foods and drinks like coffee, tea, red wine, and dark berries. Brush and floss daily, use touch-ups if recommended, and sip colored beverages through a straw. With proper care, results can last for many years.
Alternatives to Teeth Whitening
When exploring teeth whitening options and learning how to whiten teeth safely, professional teeth whitening treatments remain the most effective solution for most patients, especially if your teeth yellow over time due to coffee, tea, or aging. However, cosmetic bonding or veneers may be recommended for patients with structural defects or those who desire instant, uniform color when whitening teeth alone may not achieve the desired results. If you are unsure which option is right for you, schedule a consultation to receive a personalized treatment plan.
Frequently Asked Questions
Is professional whitening better than store bought strips or gels?
Yes. Dentist teeth whitening treatments use stronger, professionally monitored formulas that penetrate deeper stains compared to over the counter products. Whitening strips are not ideal for sensitive teeth as it may make teeth more sensitive. Professional whitening provides safer, faster, and more predictable results. If you are in San Diego and searching for professional teeth whitening near me or teeth bleaching near me, in-office teeth whitening delivers longer lasting improvement.
What is the best teeth whitening treatment in San Diego?
The best teeth whitening treatment depends on your level of staining, sensitivity, and long term goals. Many patients prefer professional teeth whitening treatments like KöR Whitening because it is known for deep stain removal, minimal sensitivity, and long lasting results.
At Flawless Dental Studio in San Diego, we offer customized KöR Whitening treatments designed to safely brighten your smile while protecting enamel and reducing sensitivity.
Is whitening safe for sensitive teeth?
Yes, when performed by a professional teeth whitening dentist, whitening teeth can be safe even for patients with sensitivity. We use a superior teeth whitening especially designed for sensitive teeth which ensures little to no sensitivity. It’s especially ideal for people with sensitive teeth and gums looking for teeth whitening solutions.
Does whitening damage enamel?
No. Professional whitening does not damage healthy enamel when performed correctly. Our dentist supervised teeth whitening treatments are designed to safely lift stains without weakening tooth structure.
Can crowns or veneers whiten?
No. Dental restorations are made from materials like: Porcelain (crowns/veneers), Ceramic, Composite resin (tooth‑colored fillings). These materials don’t absorb the whitening chemistry that peroxide gels use to lighten enamel so even professional, dentist‑supervised whitening won’t alter their shade. However, a dentist can perform surface polishing to remove surface stains on crowns or veneers, restoring their original shade but it won’t whiten them beyond their original color. This can still help them look brighter and fresher if they’re surface‑stained from coffee, tea, or smoking.
Who is a candidate?
Most healthy adults with surface or deep stains are candidates for whitening teeth. If your teeth yellow due to coffee, tea, smoking, or aging, professional treatment can help. Our whitening system is designed to reduce post-treatment discomfort which means even those with sensitive teeth and gums can enjoy great teeth whitening results. During your visit, a teeth whitening dentist will evaluate your enamel, gum health, and goals to determine the best teeth whitening option for you.
Cost of teeth whitening
The cost of professional teeth whitening varies depending on the type of treatment and individual staining levels. Most professional whitening treatments typically range between $1200-$2000 depending on the severity of discoloration.
During your consultation, we assess your teeth and provide a personalized treatment plan along with a clear cost estimate before starting any procedure. If you are searching for teeth whitening near me, whether you’re in Mira Mesa or elsewhere in San Diego, our clinic offers professional, enamel-safe whitening treatments with flexible payment plans. Flawless Dental Studio also offers discount dental plans and cheap dental insurance alternatives that can help make dental care more affordable. During your consultation, we assess your teeth and provide a personalized treatment plan along with a clear cost estimate before starting any procedure.
Is teeth whitening permanent?
At Flawless Dental Studio we provide the best teeth bleaching in Mira Misa, designed to deliver long lasting results with minimal sensitivity. However, even the best teeth whitening can’t prevent new stains from forming. Results typically last several years depending on diet, oral hygiene, and lifestyle habits. Avoiding stain causing foods and scheduling occasional touch ups helps maintain your results.
Can teeth whitening be done if you are pregnant?
Teeth whitening is generally postponed during pregnancy as a precaution. While no strong evidence shows harm, most providers recommend waiting until after pregnancy and breastfeeding before whitening teeth.
How long will it take to see results?
Almost immediately! Many patients notice visible improvement after a single in office session, with teeth becoming several shades lighter. Final results depend on the type of treatment and level of staining.


.png)
.webp)
.webp)